Volume 8 - Issue 12 - December 2009

Consultant for Pediatricians

milk-induced pulmonary disease
milk-induced pulmonary disease
04/29/2011
Kirk Barber, MD, FRCPC
<DIV id=article-content-body> <P><STRONG><IMG style="MARGIN: 5px; FLOAT: left" alt="Polymorphic light eruption"...
04/29/2011
milk-induced pulmonary disease
milk-induced pulmonary disease
04/29/2011
Linda S. Nield, MD; Miriam K. Perez, MD
 A MOTHER ASKS:
04/29/2011
milk-induced pulmonary disease
milk-induced pulmonary disease
04/29/2011
Howard Fischer, MD
<DIV id=article-content-body> <P>Every year, in the weeks before Christmas, there is at least one television station airing the movie "It’s a Wonderful Life." Watching this 1946 film...
04/29/2011
milk-induced pulmonary disease
milk-induced pulmonary disease
04/29/2011
Avind Rampersad, MD; Avind Hamad, MD; Pierre Vauthy, MD
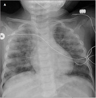
<DIV id=article-content-body> <P><IMG style="MARGIN: 5px; FLOAT: left" alt="heiner syndrome" src="/sites/default/files/transfer/0912cfpPCheiner1_thumb.jpg"...
04/29/2011
Rash
Rash
04/29/2011
Kira Blair Mayo, BS; Barbara B. Wilson, MD
<div id="article-content-body"> <p><img alt="hot tub folliculitis" src="/sites/default/files/transfer/0912cfpPChottub2_thumb.jpg" style="height:55px;...
04/29/2011
Skin Disorders
Skin Disorders
04/29/2011
Praveen Kumar, MD; Peter Noronha, MD
<DIV id=article-content-body> <P><IMG style="MARGIN: 5px; FLOAT: left" alt="keratosis pilaris rubra"...
04/29/2011
hyperpigmented lesions
hyperpigmented lesions
04/29/2011
<DIV id=article-content-body> Three different hyperpigmented lesions.</DIV>
04/29/2011
Seizure
Seizure
04/29/2011
Prashant V. Mahajan, MD, MPH, MBA
<DIV id=article-content-body>Status epilepticus (SE) is associated with high morbidity and mortality in children. Fever is a common cause of SE and may precipitate seizures in children who have...
04/29/2011
Hegde-Leung Syndrome
Hegde-Leung Syndrome
04/29/2011

December 29, 2009

December 29, 2009
<DIV id=article-content-body> <P><IMG hspace=3 alt="" vspace=3 align=left...
04/29/2011