Volume 7 - Issue 6 - June 2008

Consultant for Pediatricians

Scleroderma
Scleroderma
05/05/2011
Anne R. Sveen, MD; Ayman Samkari, MD
A 13-year-old developmentally delayed girl was brought for evaluation of fibrotic plaques with overlying atrophy and surrounding hyperpigmentation on the middle back (A), lower right breast (B), and upper...
05/05/2011
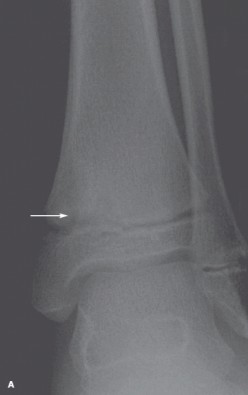
Eosinophilic Disease
Eosinophilic Disease
05/04/2011
Radhika Dhamija, MD
For 2 to 3 weeks, a 10-year-old boy had pain and swelling of the left ankle.
05/04/2011
05/04/2011
Robert Levine, MD, DO
This blanching, erythematous, maculopapula
05/04/2011
dermatophyte infections
dermatophyte infections
05/04/2011
David C. Mason, DO; Alexander K.C. Leung, MD, MBBS, FRCPC, FRCP; Joshua S. Coren, DO, MBA; Carman A. Ciervo, DO
Ten-month-old girl with swelling of the left knee of 7 weeks’ duration.
05/04/2011
dermatophyte infections
dermatophyte infections
05/04/2011
Larissa Hirsch, MD; Charles A. Pohl, MD
<p><strong>Trading one dangerous scenario</strong><strong> for another?</strong></p><p>Pertussis has long been known to cause severe disease and death in infants,...
05/04/2011
dermatophyte infections
dermatophyte infections
05/04/2011
David S. Reitman, MD
<p> </p><hr /><p> </p>
05/04/2011
dermatophyte infections
dermatophyte infections
05/04/2011
I was intrigued by a recent article on strabismus.1 I have 2 questions for the authors:
05/04/2011
Fever and Rash
Fever and Rash
04/29/2011
William A. Gibson, MD
Children who present with rash and fever could have serious illness and require immediate intervention.
04/29/2011
Case In Point
Case In Point
04/29/2011
Helene Tigchelaar, MD; Deepak M. Kamat, MD, PhD; Nirupama Kannikeswaran, MD
A 4-day-old girl was brought to the emergency department for evaluation of a copious discharge from the right eye with associated swelling and redness of the eyelid.
04/29/2011