Volume 7 - Issue 1 - January 2008

Consultant for Pediatricians

eye disorders
eye disorders
05/02/2011
Kirk Barber, MD, FRCPC
<p><img src="/sites/default/files/transfer/0801cfpDCindex_thumb.jpg" alt="Trachyonychia" width="90" height="63" style="margin: 5px; float:...
05/02/2011
eye disorders
eye disorders
04/29/2011
Bradley Chipps, MD
The new guidelines emphasize that asthma is a variable disease, with symptoms that change over time in any one patient and with differences among patients and age groups.
04/29/2011
eye disorders
eye disorders
04/29/2011
Linda S. Nield, MD; Deepak M. Kamat, MD, PhD; Linn M. Mangano, MD
<p><strong>Routine screening for eye disease at all well-child visits should begin in the newborn period. Prompt ophthalmological referral of patients with strabismus or any suspected eye...
04/29/2011
peanut allergy
peanut allergy
04/29/2011
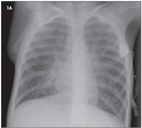
Eva Ilse Rubio, MD
The chest radiographs (Figure 1) of a 9-year-old child reflect the classic findings of a particular disease. Among other findings, the size of the patient's heart is_____?
04/29/2011
peanut allergy
peanut allergy
04/29/2011
Joshua J. Sacha, DO
<P><IMG style="MARGIN: 5px; FLOAT: left" src="/sites/default/files/transfer/0801cfpPCPLEVAcloseup_thumb.jpg" width=90 height=64>A 10-year-old boy presented with a persistent...
04/29/2011
peanut allergy
peanut allergy
04/29/2011
Larissa Hirsch, MD; Charles A. Pohl, MD
With the banning of peanut butter and jelly from some school cafeterias, peanut allergies have become a popular topic in the media and the public.
04/29/2011
GI Disorders
GI Disorders
04/29/2011
If you are a regular reader of this journal, you've probably enjoyed articles on a number of topics that were written by Dr Linda S. Nield.
04/29/2011
GI Disorders
GI Disorders
04/29/2011
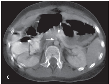
Ronald Swanger, MD; Adele Brudnicki, MD
<P><IMG style="MARGIN: 5px; FLOAT: left" alt="Appendicitis With Intestinal Malrotation" src="/sites/default/files/transfer/0801cfpPCAppC_thumb.jpg" width=90...
04/29/2011