Volume 5 - Issue 10 - October 2006

Consultant for Pediatricians

herpes infection
herpes infection
04/29/2011
Charles Pelshaw, MD; James Chinarian, MD; Edward Dabrowski, MD
The use of botulinum toxin type A (BOTOX) for treating wrinkles has been well publicized.
04/29/2011
herpes infection
herpes infection
04/29/2011
Teresa Holtrop, MD
A 2-year-old boy was brought to the emergency department by his mother after he slipped and fell in the bathtub.
04/29/2011
herpes infection
herpes infection
04/29/2011
David L. Kaplan, MD
This infant's mother noted the development of 2 reddish-pink firm papules on her son's forehead when he was about 1 month old.
04/29/2011
herpes infection
herpes infection
04/29/2011
Donald M. Olson, MD
  How long should I keep giving anticonvulsant medications to a child with benign genetic epilepsy? ----MD
04/29/2011
herpes infection
herpes infection
04/29/2011
Wolfgang P. Rennert, MD, DMSc, DTM&H
Tuberculosis (TB) remains one the most important infectious diseases in the world.
04/29/2011
herpes infection
herpes infection
04/29/2011

October 1, 2006

October 1, 2006
On the morning of the day this picture was taken, this infant suddenly turned blue and stopped breathing while being fed.
04/29/2011
herpes infection
herpes infection
04/29/2011

October 1, 2006

October 1, 2006
The skin eruption on this 2-month-old infant had been present since birth.
04/29/2011
herpes infection
herpes infection
04/29/2011
Susan Kweskin
<DIV id=article-content-body> <P>If you are reading this editorial, you've already seen the 2 special supplements to <EM>Consultant For Pediatricians </EM>that came wrapped with...
04/29/2011
herpes infection
herpes infection
04/29/2011
Prashant V. Mahajan, MD, MPH, MBA; Mohsen Saidinejad, MD; Alexander K.C. Leung, MD, MBBS, FRCPC, FRCP
<DIV id=article-content-body><IMG style="MARGIN: 5px; FLOAT: left" alt="Herpes Zoster" src="/sites/default/files/transfer/0610cfpWD_thumb.jpg" width=56...
04/29/2011
herpes infection
herpes infection
04/29/2011
Kathryn Moffett, MD
The patient is a healthy 5-year-old boy who typically awakens 90 minutes after falling asleep.
04/29/2011
eye infection
eye infection
04/29/2011
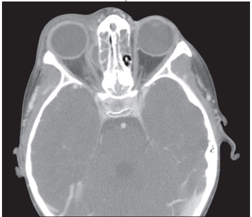
William Demshok, PA-C
<P><IMG style="MARGIN: 5px; FLOAT: left" alt="Orbital Abscess" src="/sites/default/files/transfer/0610cfpPCOrbitalAbscess_thumb.jpg" width=90 height=78>A 4-year-old...
04/29/2011
Hereditary Childhood Disorders
Hereditary Childhood Disorders
04/29/2011
C. Pion Kao, MD; Alexander K.C. Leung, MD, MBBS, FRCPC, FRCP
<P><IMG style="MARGIN: 5px; FLOAT: left" alt="Fragile X syndrome" src="/sites/default/files/transfer/0610cfpPEHereditaryDisorders1_thumb.jpg" width=56...
04/29/2011
Diabetes Q&A
Diabetes Q&A
04/29/2011
David S. Reitman, MD
For many practitioners, teenagers with eating disorders elicit a visceral reaction.
04/29/2011
Diabetes Q&A
Diabetes Q&A
04/29/2011
Stuart A. Bradin, DO
<p><img alt="diabetic ketoacidosis" src="/sites/default/files/transfer/0610cfpBradinFigureThumb_thumb.png" style="height:90px; margin:5px; width:70px; float:left"...
04/29/2011
Skin Disorders
Skin Disorders
04/29/2011
David Effron, MD
The child has orbital cellulitis, an infection with sometimes serious sequelae that involves the soft tissue of the orbit posterior to the orbital septum.
04/29/2011
Skin Disorders
Skin Disorders
04/29/2011
Bhagwan Das Bang, MD
A 3-month-old infant was brought for evaluation after the sudden development of a tonic-clonic seizure that involved the left upper extremity.
04/29/2011