Volume 4 - Issue 5 - May 2005

Consultant for Pediatricians

Congenital injury
Congenital injury
04/29/2011
Alexander K.C. Leung, MD, MBBS, FRCPC, FRCP; William Lane M. Robson, MD, FRCPC, FRCP
A 13-year-old boy presented with an explosive eruption of numerous, small, round, erythematous, itchy plaques on his lower back and lower limbs of 2 weeks' duration (A).
04/29/2011
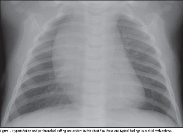
asthma
asthma
04/29/2011
Lisa Markman, MD; Linda S. Nield, MD; Deepak M. Kamat, MD, PhD
A chronic inflammatory disease of the airways, asthma is one of the most common reasons why children are brought to a physician. In this article, we outline a treatment strategy for the acute asthma flare....
04/29/2011
Bowel obstruction
Bowel obstruction
04/29/2011
Tracy Weimer, MD; Atiya Khan, MD, MRCP
A 14-year-old girl presented with concerns about a "deformed" right shoulder.
04/29/2011
Hair Disorders
Hair Disorders
04/29/2011
Alexander K.C. Leung, MD, MBBS, FRCPC, FRCP
Dr Leung describes 6 patients with different types of childhood alopecia, including pathysiologic shedding of newborn hair, ophiasis, seborrheic dermatitis, alopecia areata, trichotillomania, and frictional...
04/29/2011
Bowel obstruction
Bowel obstruction
04/29/2011
May 1, 2005
May 1, 2005
 
04/29/2011
Bowel obstruction
Bowel obstruction
04/29/2011
Kirk Barber, MD, FRCPC
This lesion has developed over the past 6 months on a 6-year-old's nose. It measures 3 mm and is reddish brown with a regular border.
04/29/2011
Bowel obstruction
Bowel obstruction
04/29/2011
Alexander K.C. Leung, MD, MBBS, FRCPC, FRCP; William Lane M. Robson, MD, FRCPC, FRCP
Dysuria refers to painful micturition.
04/29/2011
04/29/2011
May 1, 2005
May 1, 2005
For 3 days, a 10-year-old girl had redness and vesicles on her right volar wrist.
04/29/2011
04/29/2011
Srinivasan Suresh, MD, MBA; Ramesh Ragothaman, MD; Deepak M. Kamat, MD, PhD
Fever is one of the most common symptoms for which children are brought to the emergency department.
04/29/2011
congenital lesions
congenital lesions
04/29/2011
Robert P. Blereau, MD
The irides of a legally blind 19-year-old woman had been absent since birth.
04/29/2011
05/29/2005
This review of MDMA, also known as “Ecstasy,” ketamine, GHB, and methamphetamine, provides a basic introduction to help practitioners get “up to speed.”
05/29/2005
05/29/2005
The patient is a female neonate who weighed 2210 g at birth.
05/29/2005