Volume 3 - Issue 7 - July 2004

Consultant for Pediatricians

Skin Disorders
Skin Disorders
05/02/2011
Mary L. Sy, MD; Gary P. Williams, MD
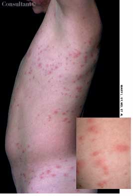
A 6-year-old girl (A) and an 11-year-old boy (B) each presented for evaluation of an erythematous, pruritic, papular rash that developed after swimming in a Wisconsin lake.
05/02/2011
Skin Disorders
Skin Disorders
05/02/2011
Mary L. Sy, MD; Gary P. Williams, MD
An 11-year-old boy presented for evaluation of an itchy rash that developed during a ski vacation. He mentioned that he had enjoyed a hot tub during his trip.
05/02/2011
07/01/2004
Seabather's eruption is a pruritic dermatitis that occurs after exposure to seawater that contains certain species of jellyfish.
07/01/2004