Peer Reviewed
Association of Streptococcus sanguinis Infection With Colorectal Carcinoma
Authors:
Janice Chuang, MS-III
A. T. Still University School of Osteopathic Medicine, Mesa, Arizona
Abdul R. Siddiqui, MD
Infectious Diseases, Auburn MultiCare Medical Center, Auburn, Washington
Citation:
Chuang J, Siddiqui AR. Association of Streptococcus sanguinis infection with colorectal cancer. Consultant. 2019;59(1):30-31.
The association of Streptococcus bovis, now renamed Streptococcus gallolyticus, and colorectal cancers is well established, but several recent case reports have shown the association of Streptococcus sanguinis (formerly Streptococcus sanguis) with colorectal carcinoma. We report a case of S sanguinis bacteremia that led to the discovery of invasive colorectal adenocarcinoma.
Case Report
An 82-year-old woman presented to the emergency department (ED) with generalized weakness, chills, and decreased appetite. Five days prior, she had been treated with cephalexin for pansensitive Escherichia coli urinary tract infection, which had led to no improvement. The woman’s family also expressed concerns about the possibility of her mental slowing.
The patient’s physical examination findings and vital signs were relatively benign, and the patient was considered stable for discharge after a blood culture was obtained. Blood culture results returned positive for Streptococcus, and the patient was asked to return to the ED.
Upon her return, the patient was still clinically stable; therefore, 2 additional blood cultures were drawn to eliminate the possibility of contamination. After both blood cultures returned positive for S sanguinis, the patient was admitted for further evaluation of her S sanguinis bacteremia and was started on intravenous ceftriaxone.
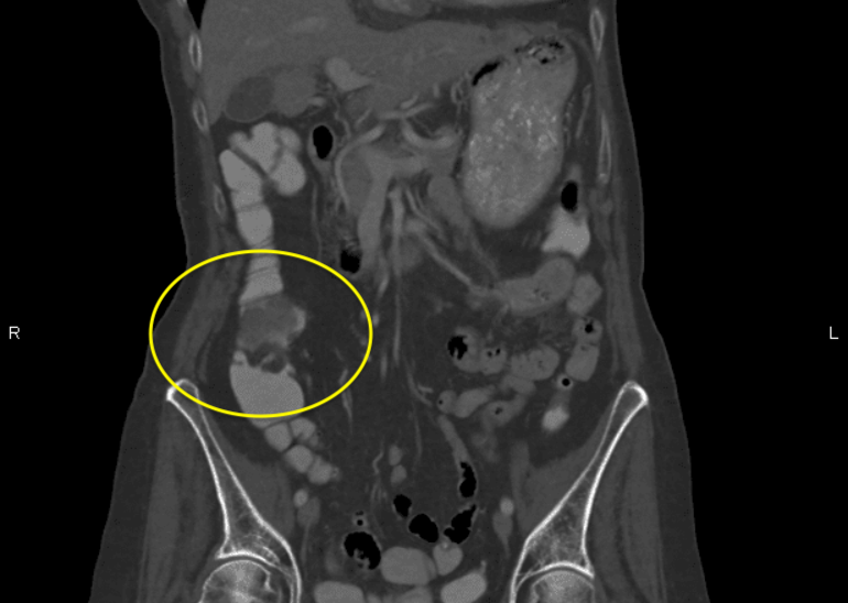
Results of a transthoracic echocardiogram (TTE) were negative for endocarditis, and a computed tomography (CT) scan of the abdomen and pelvis with intravenous contrast showed a 3 × 2-cm soft-tissue mass located at the proximal ascending colon (Figure 1).

Figure 1. Coronal view of abdominal and pelvic CT showing a 3 × 2-cm mass.
A colonoscopy showed a partially obstructing tumor in the proximal ascending colon, as well as multiple polyps (Figures 2 and 3).

Figure 2. Colonoscopy image showing an obstructing tumor at the proximal colon.

Figure 3. Colonoscopy image showing a 20-mm polyp at the descending colon.
A biopsy of the right proximal colon mass confirmed the presence of moderately differentiated invasive adenocarcinoma. The patient declined a subtotal colectomy with chemotherapy and opted for a right hemicolectomy in order to preserve her activities of daily living.
Discussion
S sanguinis—a member of the viridans group streptococci—commonly reside in the oral cavity and less commonly in the gastrointestinal tract.1 S sanguinis is most commonly implicated in endocarditis after dental procedures or in severe cases of periodontal disease.2,3 There have been 6 case reports of colorectal carcinoma presenting initially as S sanguinis bacteremia.2,4-8 The first case report by Fass and colleagues in 1995 showed an association between S sanguinis and colorectal carcinoma.4 They described 2 cases of women in their 60s or 70s who had unremarkable TTE findings but were found to have adenocarcinoma of the colon. Since then, 5 additional case reports on the association have been published, 2 of which included patients with infective endocarditis.2,5-8
We believe that the pathology behind S sanguinis and adenocarcinoma is similar to that of S gallolyticus, which is presumed to be the translocation of the bacteria via ulcerated lesion. However, new evidence suggests a carcinogenic effect of S gallolyticus itself.9,10 A study by Ellmerich and colleagues showed that the cell wall antigen of S gallolyticus increases production of inflammatory cytokines, specifically interleukin 8, in the colonic mucosa of rats.9 A study by Abdulamir and colleagues reported that S gallolyticus was found in nonulcerated polyps and adenomas at the same level as patients with a colorectal carcinoma diagnosis.10 While these studies investigated the etiologic role of S gallolyticus, investigations into the carcinogenic effects of other bacteria, including S sanguinis, is an expanding horizon.
The interval between the identification of the colonic malignancy and the bacteremia ranges from days to numerous months.8 In addition, reports in the literature suggest a pattern of women in their 60s being predominantly affected.2,4-8 We recommend that patients with S sanguinis bacteremia be evaluated for colon cancer after endocarditis has been ruled out.
References:
- Rodriguez AM, Callahan JE, Fawcett P, Ge X, Xu P, Kitten T. Physiological and molecular characterization of genetic competence in Streptococcus sanguinis. Mol Oral Microbiol. 2011;26(2):99-116.
- Nijjer S, Dubrey SW. Streptococcus sanguis endocarditis associated with colonic carcinoma. BMJ Case Rep. 2010;2010:bcr09.2009.2311. doi:10.1136/bcr.09.2009.2311.
- Di Filippo S, Delahaye F, Semiond B, et al. Current patterns of infective endocarditis in congenital heart disease. Heart. 2006;92(10):1490-1495.
- Fass R, Alim A, Kaunitz JD. Adenocarcinoma of the colon presenting as Streptococcus sanguis bacteremia. Am J Gastroenterol. 1995;90(8):1343-1345.
- Macaluso A, Simmang C, Anthony T. Streptococcus sanguis bacteremia and colorectal cancer. South Med J. 1998;91(2):206-207.
- Marinella MA. Streptococcus sanguis bacteremia associated with cecal carcinoma: case report and review of the literature. Am J Gastroenterol. 1997;92(9):1541-1542.
- Siegert C, Overbosch D. Carcinoma of the colon presenting as Streptococcus sanguis bacteremia. Am J Gastroenterol. 1995;90(9):1528-1529.
- Chen F-L, Jean S-S, Ou T-Y, Wang G-C, Yu F-L, Lee W-S. Streptococcus sanguis bacteremia complicating endocarditis associated with colonic adenocarcinoma. J Microbiol Immunol Infect. 2017;50(3):399-400.
- Ellmerich S, Schöller M, Duranton B, et al. Promotion of intestinal carcinogenesis by Streptococcus bovis. Carcinogenesis. 2000;21(4):753-756.
- Abdulamir AS, Hafidh RR, Abu Bakar F. The association of Streptococcus bovis/gallolyticus with colorectal tumors: the nature and the underlying mechanisms of its etiological role. J Exp Clin Cancer Res. 2011;30(1):11.
