Volume 58 - Issue 4 - April 2018

Consultant

Photoclinic
Photoclinic
09/26/2019
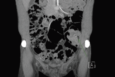
Intussusception is one of the common causes of intestinal obstruction in children, but it is a relatively rare condition in adults, accounting for only 1% to 3% of adult cases of intestinal obstruction. ...
09/26/2019
Controversies in Clinical Care
Controversies in Clinical Care
05/21/2019
Given the evidence, the safety profile of DOACs related to major and fatal bleeding is superior to that of warfarin.
05/21/2019
What's the Take Home?
What's the Take Home?
05/13/2019
Magnetic resonance imaging of the brain revealed a very small but definite area of ischemia in the left cerebral cortex.
05/13/2019
What's Your Diagnosis?
What's Your Diagnosis?
09/13/2018
A previously healthy 20-month-old girl presented with a 1-week history of erythematous pruritic papules that had originated over the right axilla and upper chest and had extended to involve the right arm,...
09/13/2018
Photoclinic
Photoclinic
04/05/2018
Sharon E. Joo, DO, MPH; Pisespong Patamasucon, MD
Pott puffy tumor is a frontal osteomyelitis with associated subperiosteal abscess of the frontal bone.
04/05/2018
Photoclinic
Photoclinic
04/05/2018
EML is a rare presentation of myeloid neoplasia in solid form that is a harbinger of AML, and the sigmoid colon is an even rarer site for the development of this malignancy.
04/05/2018
Photo Quiz
Photo Quiz
04/05/2018
Changes in nail color often indicate the presence of underlying local or systemic diseases.
04/05/2018
Feature
Feature
04/05/2018
The overall global prevalence of IBS in adults is reportedly 11.2%, suggesting that approximately 36 million individuals in the United States may be affected.
04/05/2018
Feature
Feature
04/05/2018
The overall global prevalence of IBS in adults is reportedly 11.2%, suggesting that approximately 36 million individuals in the United States may be affected.
04/05/2018
Feature
Feature
04/05/2018
The overall global prevalence of IBS in adults is reportedly 11.2%, suggesting that approximately 36 million individuals in the United States may be affected.
04/05/2018