Peer Reviewed
Are the Findings in This Boy Signs of Malnutrition? - Part 1
AUTHOR:
Ajey V. Godbole, MD
Providence Hospital, Brentwood Pediatric Associates, Livonia, Michigan
CITATION:
Godbole AV. Are the findings in these boys signs of malnutrition? Consultant for Pediatricians. 2013;12(1):40-42.
During a well-child visit, the mother of a 13-month-old boy expresses concern about her son’s bowed legs. He had been exclusively breastfed until age 6 months. He is still breastfed at 13 months. The child lives in Michigan with his family. His medical history is unremarkable.
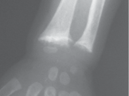
Examination reveals an otherwise healthy African-American boy with genu varum. Radiographs of the wrists are ordered.

What's your diagnosis?
(Answer and discussion on next page.)
ANSWER: Vitamin D Deficiency Rickets
The radiograph shows cupping, fraying, and widening of the metaphysis. Further evaluation reveals normal blood calcium and phosphorus levels; however, the level of alkaline phosphatase is markedly elevated and the 25-hydroxyvitamin D level is very low at 5 ng/mL. This child had not received vitamin D supplementation, was dark-skinned, and lived in Michigan where he spent most of his first 12 months of life indoors with a lack of sun exposure—factors that point to a diagnosis of vitamin D deficiency rickets.

Breast milk alone does not provide infants with an adequate intake of vitamin D.1 The lack of vitamin D is partially mitigated by exposure to sunlight. Although vitamin D synthesized through routine sunlight may be sufficient for many infants, it is not enough for some breastfed infants, particularly those with certain factors. These factors include the amount of skin pigmentation, body mass, degree of latitude, season, the amount of cloud cover, the extent of air pollution, the amount of skin exposed, and the extent of UV protection (such as clothing and sunscreens), all of which decrease the amount of vitamin D synthesized from sunlight.2
With concerns about excess sun exposure causing skin cancer and efforts to limit sunlight exposure and inconsistent sun exposure in the United States, especially in northern latitudes (where this patient lived), the American Academy of Pediatrics (AAP) has recommended a daily intake of 400 IU of vitamin D per day for all infants and children beginning in the first few days of life.2
To ensure that this daily requirement is met, the AAP recommends the following:
- A supplement of 400 IU/day of vitamin D should begin within the first few days of life and continue throughout childhood.
- Any breastfeeding infant, regardless of whether he or she is being supplemented with formula, should be supplemented with 400 IU of vitamin D, because it is unlikely that a breastfed infant would consume 1 L (about 1 qt) of formula per day, the amount that would supply 400 IU of vitamin D.2
Skeletal manifestations associated with rickets are seen first at growth plates of rapidly growing bones (eg, wrists, knees). Patients can have enlarged wrists and ankles and bowing of legs. Widening of the epiphyseal plates is an early radiographic change. This may progress to cupping, splaying, or stippling of the metaphyses. With severe disease, the shafts of long bones become osteopenic and predispose patients to pathological fractures.3
This child was treated with ergocalciferol, 1000 IU bid for 2 weeks, followed by ongoing supplementation with 400 IU daily. In 2 weeks, the alkaline phosphatase and vitamin D levels had normalized. A treatment period of 2 weeks is typical before repeating radiographs. For this boy, a second set of radiographs obtained at 4 weeks showed response to treatment.
REFERENCES:
- Centers for Disease Control and Prevention. Vitamin D supplementation. http://www.cdc.gov/breastfeeding/recommendations/vitamin_d.htm. Accessed November 29, 2012.
- Wagner CL, Greer FR, and the Section on Breastfeeding and Committee on Nutrition. Prevention of rickets and vitamin D deficiency in infants, children, and adolescents. Pediatrics. 2008;122(5):1142-1152.
- Samaddar K, Rojsirivat D. Vitamin D deficiency rickets. Consultant For Pediatricians. 2007;6(7):408-412.
